4 مورد از مهمترین عوارض کامپوزیت دندان
کامپوزیت دندان به دلیل دوام، جذابیت و زیبایی، مادهای محبوب برای ترمیم دندان است. با این حال، مانند هر روش دیگری، عوارض کامپوزیت دندان نیز باید بررسی شود. از جمله عوارض کامپوزیت میتوان به حساسیت دندانها تا لکه شدن، خرد شدن و خرابی، درک خطرات بالقوه اشاره کرد.
در این مقاله به بررسی عوارض کامپوزیت دندان میپردازیم و نکات ارزشمندی را برای کمک به شما در حفظ لبخندی سالم و زیبا ارائه میدهیم.
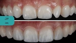
کامپوزیت دندان و کاربرد آن در اصلاح طرح لبخند
کامپوزیت دندان یک ماده همه کاره است که در روشهای مختلف زیبایی و ترمیمی از جمله اصلاح طرح لبخند استفاده میشود. کامپوزیت دندان که یک رزین همرنگ دندان است را میتوان به دندانها چسباند تا شکل و اندازه آنها را برای دستیابی به نتیجه زیبایی مورد نظر تغییر داد. کامپوزیت دندان همچنین میتواند برای پر کردن شکاف ها، ترمیم تراشهها و تغییر رنگ پوشش استفاده شود و لبخندی طبیعی و زیبا به بیماران ارائه دهد.
استفاده از کامپوزیت دندان در اصلاح طرح لبخند رویکردی بسیار ماهرانه و هنرمندانه دارد. دندانپزشک باید به جزئیات توجه داشته باشد و بتواند ویژگیهای صورت، ساختار دندان و خط لثه بیمار را ارزیابی کند تا یک طرح سفارشی ایجاد کند. سپس مواد کامپوزیت با دقت اعمال میشود و برای دستیابی به شکل، اندازه و سایه دلخواه دندان ها، تراشیده میشود. با کمک کامپوزیت دندان، بیماران میتوانند به یک لبخند خیرهکننده دست یابند که اعتمادبهنفس و کیفیت زندگی آنها را افزایش میدهد.
چه عواملی باعث میشود که عوارض کامپوزیت دندان را نادیده بگیریم؟
عوامل زیادی باعث میشود که عوارض کامپوزیت دندان را نادیده بگیریم، زیرا مزایای زیادی دارد.
-
زیبایی ظاهری
کامپوزیت دندان را میتوان با رنگ دندان مطابقت داد تا بهطور یکپارچه با رنگ طبیعی دندان ترکیب شود و آن را به گزینهای عالی برای ترمیم در نواحی قابل مشاهده تبدیل کند.
-
تطبیقپذیری
کامپوزیت دندان را میتوان برای اهداف ترمیمی مختلفی از جمله پرکردن حفرهها، ترمیم برادهها یا ترکها و تغییر شکل دندانها استفاده کرد.
-
ایمنی
کامپوزیت دندانی در مقایسه با سایر مواد مانند آمالگام به حذف کمتر ساختار دندان سالم نیاز دارد.
-
باندینگ
کامپوزیت دندان مستقیماً به دندان میچسبد و از پوسیدگی بیشتر جلوگیری میکند.

عوارض کامپوزیت دندان چیست؟
کامپوزیت دندان یک ماده محبوب است که در روشهای مختلف زیبایی و ترمیمی برای بهبود ظاهر و عملکرد دندانها استفاده میشود. با این حال، مانند هر روش دندانپزشکی، بدون عوارض نیست. در ادامه، برخی از عوارض کامپوزیت دندان و نحوه پیشگیری و درمان آنها را بررسی خواهیم کرد.
حساسیت دندانها
یکی از شایعترین عوارض کامپوزیت دندان، حساسیت دندان است.
- حساسیت زمانی اتفاق میافتد که عصب دندان در حین عمل در معرض دید قرار میگیرد و هنگام قرار گرفتن در معرض دمای سرد یا گرم باعث ناراحتی یا درد میشود.
این حساسیت ممکن است چند روز یا چند هفته پس از عمل باقی بماند، اما معمولاً با گذشت زمان از بین میرود. اگر این حساسیت ادامه داشت، ضروری است که برای درمان مناسب با یک متخصص دندانپزشک تماس بگیرید.
- برای جلوگیری از حساسیت بعد از عمل کامپوزیت دندان، دندانپزشک باید از اچ کردن بیش از حد مینای دندان که میتواند منجر به قرار گرفتن در معرض عصب شود، اجتناب کند.
- علاوه بر این، بیماران باید بلافاصله پس از عمل از مصرف غذاها و نوشیدنیهای سرد یا گرم خودداری کنند و برای کاهش هرگونه عوارض کامپوزیت دندان های جلو باید از خمیر دندانهای ضدحساسیت استفاده کنند.

تغییر رنگ دندانها
تغییر رنگ کامپوزیت یکی از عوارض كامپوزيت دندان است که برای بسیاری از افراد قابل توجه است. کامپوزیت دندان میتواند به مرور زمان لکهدار شود، به خصوص اگر بیمار قهوه، چای یا نوشابههای زیادی مصرف کند.
- این ماده همچنین ممکن است به دلیل بهداشت نامناسب دهان یا سیگار کشیدن تغییر رنگ دهد.
- رنگ نامناسب میتواند ظاهر کامپوزیت دندان را به خطر بیندازد و ممکن است نیاز به جایگزینی مواد برای بازگرداندن زیبایی دندانها داشته باشد.
- برای جلوگیری از ایجاد لکه، بیماران باید از مصرف اینگونه غذاها و نوشیدنیها خودداری کنند و یا از نی برای به حداقل رساندن تماس با دندانها استفاده کنند.
- علاوه بر این، مسواک زدن منظم و نخ دندان کشیدن میتواند به جلوگیری از ایجاد لکه روی دندان کمک کند.
شکستگی
اگرچه کامپوزیت دندانی قوی و بادوام است، اما در صورتی که تحت فشار بیش از حد، مانند گاز گرفتن غذاهای سفت قرار بگیرد، میتواند خرد شده یا بشکند و طول عمر کامپوزیت کاهش مییابد..
این عارضه کامپوزیت میتواند یکپارچگی ترمیم را به خطر بیندازد و ممکن است حتی نیاز به تعویض مواد داشته باشد. برای جلوگیری از خرد شدن، بیماران باید از گاز گرفتن اجسام سخت مانند یخ و دیگر خوراکیهای سفت، خودداری کنند و از ابزار مناسب برای باز کردن بستهها یا شکستن مواد غذایی استفاده کنند. علاوه بر این، آنها نباید از دندان برای نگه داشتن اشیاء استفاده کنند.
ساییدگی و پارگی
پر کردن دندان با کامپوزیت ممکن است به مرور زمان از بین برود، به خصوص اگر بیمار دندانقروچه کند یا غذاها و نوشیدنیهای اسیدی مصرف کند. با فرسودگی پرکننده، ممکن است اثر آن کمتر شود و ممکن است نیاز به تعویض داشته باشد.
برای به حداقل رساندن خطرات پر کردن کامپوزیت، باید:
- یک دندانپزشک مجرب و با تجربه را انتخاب کنید که بتواند از درست و ایمن قرار گرفتن پرکردگی اطمینان حاصل کند.
- دندانپزشک خود را از هرگونه آلرژی یا حساسیتی که ممکن است داشته باشند مطلع کنید.
- اگر در مورد کیفیت بالقوه پرکنندههای کامپوزیت نگرانی دارید، مواد جایگزین مانند سرامیک یا چینی را در نظر بگیرید.
- برای اطمینان از ماندگاری پرکردگی، عادات بهداشتی خوب دهان، از جمله مسواک زدن منظم، نخ دندان کشیدن را تمرین کنید.
روشهای جلوگیری از عوارض کامپوزیت دندان
- رعایت بهداشت دهان و دندان بسیار مهم است. روزانه دوبار مسواک کردن و استفاده از نخ دندان میتوان عامل مهمی در پیشگیری از عوارض کامپوزیت دندان باشد تا دندان دچار پوسیدگی نشود.
- اگر برای نگرانید که آیا کامپوزیت باعث پوسیدگی دندان میشود یا نه، تنها راه رعایت بهداشت دهان و دندان است.
- از خوردن مواد غذایی سفت مثل آب نبات، یخ و آجیل با دندان دوری کنید.
- اگر دندان قروچه دارید، حتما به دنبال درمان آن باشید.
- از مصرف دخانیات و نوشیدنیهای الکلی جدا خودداری کنید.
- مواد غذایی رنگ دانه دار مثل قهوه و چای کمتر مصرف کنید.
- چکاپ هر 6 ماه یکبار را برای بررسی دندان و لثه و کامپوزیتها فراموش نکنید.
در پایان، کامپوزیت دندان مادهای ارزشمند است که در روشهای مختلف زیبایی و ترمیمی برای بهبود ظاهر و عملکرد دندانها استفاده میشود. با این حال، مانند هر روش دندانپزشکی، عوارضی دارد. بیماران باید از مسائل احتمالی آگاه باشند و اقدامات مناسب برای پیشگیری و درمان آنها انجام دهند. با رعایت اصول بهداشت دهان و دندان، پرهیز از اعمال فشار بیش از حد بر روی دندان و جستجوی سریع درمان برای هر مشکلی، بیماران میتوانند سالها از مزایای کامپوزیت دندان بهرهمند شوند.
شبکه دندانپزشکی میخک با استفاده از بهترین دندانپزشکان بالاترین کیفیت را در زمینه کامپوزیت دندان برای اصلاح طرح لبخند و پر کردن دندان ارائه میکند. از طرفی شما میتوانید برای پرداخت هزینه کامپوزیت دندان از طرح دندانپزشکی اقساطی استفاده کنید.
منبع: https://mikhakdental.com/
انتهای پیام/


ارسال نظر